Coroana dentară acoperă și protejează un singur dinte afectat, în timp ce puntea dentară este o lucrare protetică ce înlocuiește unul sau mai mulți dinți lipsă, sprijinindu-se pe dinții vecini sau pe implanturi dentare.
Protetica dentară : Refacem dinții afectați prin soluții protetice personalizate
Protetica dentară reface funcția, stabilitatea și estetica dinților afectați sau lipsă, prin lucrări personalizate precum coroane, punți și proteze dentare.
La Harmony Dental Solution Câmpina, tratamentele protetice sunt realizate pe baza unui diagnostic precis și integrate, astfel încât rezultatul să fie natural, funcțional și durabil. Protetica dentară reface funcția și estetica dinților prin lucrări fixe sau mobile, realizate pe baza unui diagnostic complet.Clinica noastră stomatologică oferă soluțiile protetice integrate cu implantologia și chirurgia dentară, pentru rezultate stabile pe termen lung. Vezi medicii nostri si solicită o programare!

Coroane dentare
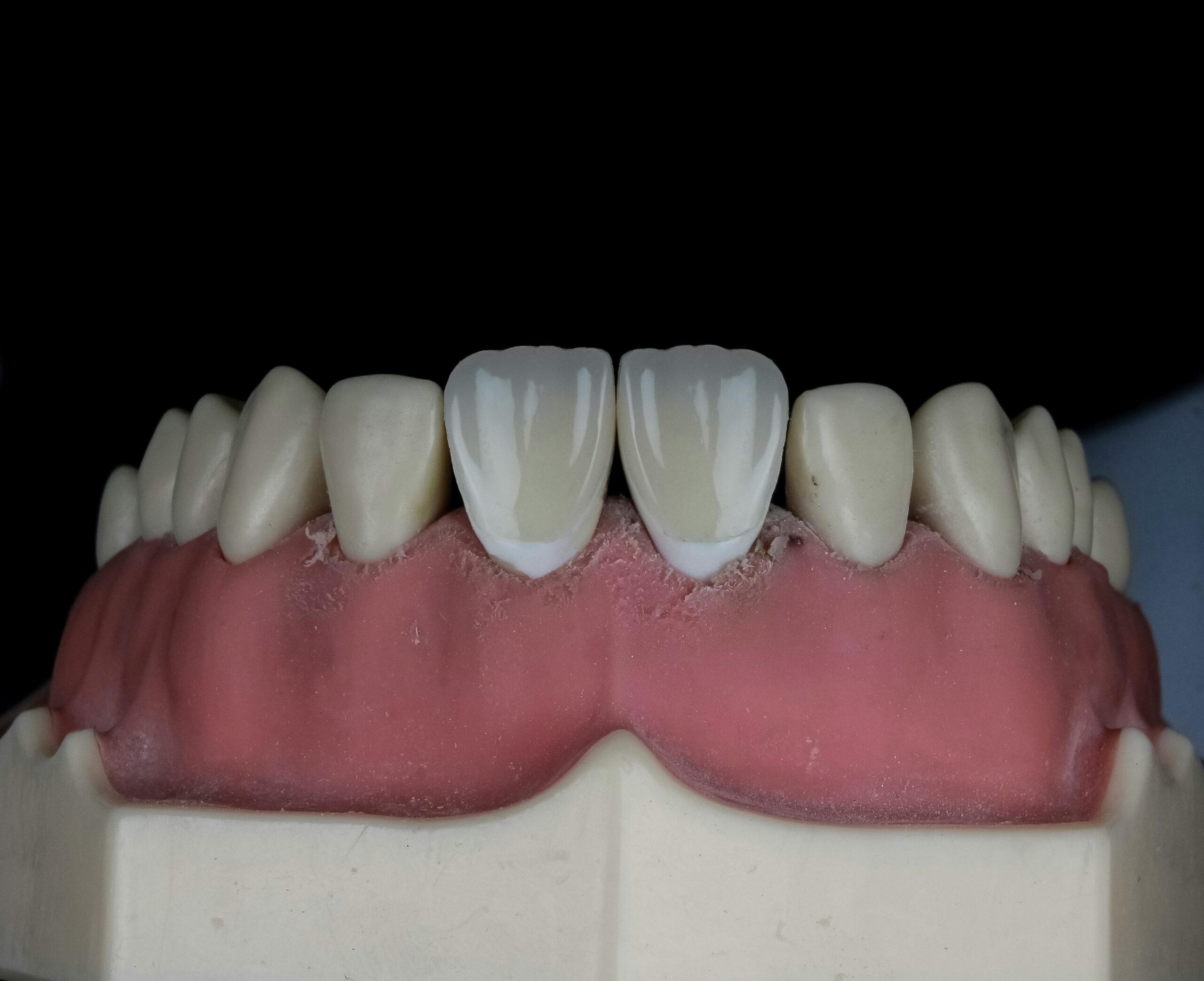
Refacem dinții afectați prin coroane ceramice sau zirconiu, adaptate estetic și funcțional.

Punți dentare
Dentists and dental staff are expected to maintain a high level.

Protetica pe implant
Lucrări fixe pe implanturi dentare, realizate în colaborare cu implantologia.

Proteze dentare
Proteze mobile sau scheletate, adaptate confortabil fiecărui pacient.
Ce este protetica dentară?
Protetica dentară este ramura stomatologiei care se ocupă cu refacerea dinților lipsă sau afectați prin lucrări protetice precum coroane dentare, punți dentare sau proteze dentare. Este indicată atunci când structura dintelui nu mai poate fi salvată prin obturații simple sau tratament endodontic.
Protetică dentară integrată într-un plan medical complet
La Harmony Dental Solution Câmpina, protetica dentară nu este tratată izolat. Lucrările protetice sunt planificate în urma unei evaluări clinice și imagistice, în colaborare cu medicii specializați în implantologie și chirurgie dento-alveolară.


Protetica dentară este ramura stomatologiei care se ocupă cu refacerea dinților lipsă sau afectați prin lucrări protetice precum coroane, punți sau proteze dentare. Scopul este restabilirea funcției masticatorii, a esteticii și a confortului pacientului.
Protetica dentară este recomandată atunci când un dinte este prea afectat pentru a fi refăcut printr-o simplă obturație sau după tratament endodontic, precum și în cazul pierderii unuia sau mai multor dinți.
Lucrările protetice pot fi realizate din ceramică integrală, zirconiu, metal-ceramică sau materiale acrilice, în funcție de indicația medicală, zona tratată și necesitățile estetice și funcționale ale pacientului.
Durata de viață a unei lucrări protetice depinde de material, igiena orală și controalele periodice. În condiții normale de îngrijire, coroanele și punțile dentare pot rezista între 10 și 15 ani sau chiar mai mult.
Procedurile de protetică dentară se desfășoară sub anestezie locală atunci când este necesar, iar disconfortul este minim. Majoritatea pacienților tolerează foarte bine tratamentul.
Da. Protetica dentară pe implant presupune realizarea unei coroane sau a unei lucrări fixe care se atașează pe implant, oferind stabilitate și un aspect natural.
Lucrările protetice se îngrijesc prin periaj de două ori pe zi, folosirea aței dentare sau a periuțelor interdentare și controale stomatologice periodice. O igienă corectă prelungește durata de viață a lucrărilor protetice.
Dacă implantul nu este indicat, alternativele pot include punți dentare sau proteze mobile, recomandate în urma unei consultații și evaluări clinice complete.
Da. Controalele periodice permit verificarea adaptării lucrării protetice, a sănătății gingivale și prevenirea eventualelor complicații pe termen lung.

